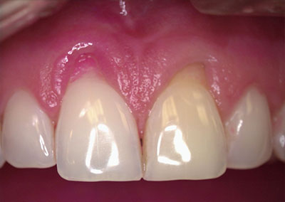
Soft Tissue Grafting
A toothy smile caused by gum recession is often treated by extracting soft tissue from the roof of your mouth. Using AlloDerm® Regenerative Tissue Matrix, however, this procedure is not necessary. AlloDerm’s high success rate and predictable outcomes allow us to effectively restore your smile without additional surgical procedures.

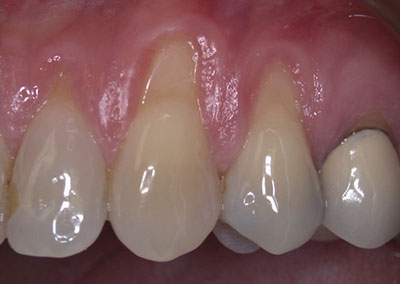
Functional Soft Tissue Grafting
Normally gum tissue surrounds and protects the delicate roots of your teeth. Exposed tooth roots are prone to tooth decay, root canals, discoloration and actual jawbone loss. All of this can lead to tooth loss in advanced cases.
Functional Soft Tissue Grafting replaces the missing gum tissue and protects your teeth. For this reason, Soft Tissue Grafting may be recommended even for back teeth.

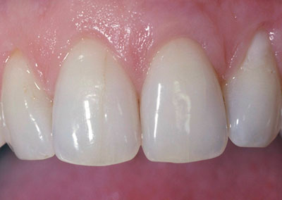
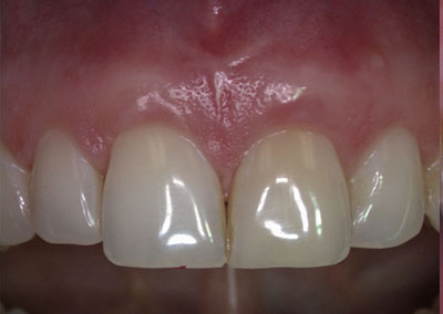
Cosmetic Soft Tissue Grafting
In addition to the functional problems previously mentioned, receding gums can look unsightly.
Longer looking teeth and exposed tooth roots give an “old” appearance to your smile. Some people cover their mouths when they smile for this very reason.
Cosmetic Soft Tissue Grafting can add a new youthful appearance to your smile. In your initial consultation with Dr. Glover, he will thoroughly explain what can be achieved in your particular case.

Why Choose our office
At our periodontal practice, we believe in delivering far more than just dental care — we aim to provide an experience that’s comfortable, trustworthy, and results-driven.
Here’s what sets us apart:
Specialized Expertise
Our doctors are skilled in advanced gum therapy, dental implants, and full-mouth restorations — giving you access to top-tier periodontal care under one roof.
Patient Comfort & Communication
We know dental procedures can be stressful. We take the time to explain your diagnosis, walk you through all treatment options, and answer every question in clear, understandable terms.
Personalized Treatment Planning
Every smile is different. We build a care plan tailored to your unique needs, whether it’s a routine cleaning, implant placement, or a complete smile restoration.
Cutting-edge Technology & Techniques
We use modern periodontal and implant technologies to ensure precision, faster healing, and long-lasting results.
Long-term Oral Health Commitment
Our focus isn’t just on immediate results — we aim to preserve and enhance your gum and bone health for years to come.