Replacing a Single Tooth with Implants in Dallas, TX

Replacing a Single Tooth

Dental implants are today’s method of choice for replacing missing teeth. They are long lasting, natural in appearance, and promote jaw health. By working in tandem with your dentist, Dr. Glover hopes to maximize your oral health for a lifetime.

A natural tooth is anchored into the jawbone by its tooth root. Tooth roots attach firmly to the jawbone and keep your teeth stable when chewing solid foods.

Traditionally, if you were missing a tooth or if one needed to be extracted, the healthy teeth on either side of the missing tooth would be cut down and replaced with a three-unit “bridge.”

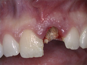
Immediately Placed Single Implant

Dental implants are the modern alternative. Instead of cutting down two perfectly healthy teeth, Dr. Glover inserts a dental implant into the jawbone to replace your missing tooth root. The implant becomes solidly fixed into your jaw bone (osseointegration). Your general dentist then places a crown onto this artificial tooth root that looks, feels, and functions like your natural tooth.

Put simply, dental implants are the most natural replacement for missing teeth.

Why Choose our office

At our periodontal practice, we believe in delivering far more than just dental care — we aim to provide an experience that’s comfortable, trustworthy, and results-driven.

Here’s what sets us apart:

Specialized Expertise

Our doctors are skilled in advanced gum therapy, dental implants, and full-mouth restorations — giving you access to top-tier periodontal care under one roof.

Patient Comfort & Communication

We know dental procedures can be stressful. We take the time to explain your diagnosis, walk you through all treatment options, and answer every question in clear, understandable terms.

Personalized Treatment Planning

Every smile is different. We build a care plan tailored to your unique needs, whether it’s a routine cleaning, implant placement, or a complete smile restoration.

Cutting-edge Technology & Techniques

We use modern periodontal and implant technologies to ensure precision, faster healing, and long-lasting results.

Long-term Oral Health Commitment

Our focus isn’t just on immediate results — we aim to preserve and enhance your gum and bone health for years to come.

Ask the Doctor

What are dental implants?

Implants are natural looking replacements for missing teeth. The implant itself is a post that attaches to your jawbone. This post provides an anchor for your general dentist to place crowns, bridges or other restorations.

Dental implants begin with an evaluation by your general dentist who will decide if you are a good candidate for this procedure.

For more detailed information, please see the section entitled “Dental Implants.”

Do implants work as well as natural teeth?

Dental implants function much better than removable teeth, (e.g. partials or dentures). Patients often comment that dental implants are so natural in appearance and function that it is like having their natural teeth back. Today’s advancements make implants function within 90% of the efficiency of natural teeth in terms of both bite and feel.

How much do dental implants cost?

The cost of implants varies from patient to patient, depending on the complexity of each case. As a general rule, however, the investment is comparable to that of fixed bridgework.

Does the procedure hurt?

The discomfort involved with receiving a dental implant is similar to that of having a cavity filled. It is often done under local anesthesia and patients generally experience little discomfort after the procedure.

How long will dental implants last?

Dental implants become fixed to the jawbone. Though the life span of a dental implant will vary with each patient, many have lasted for over 30 years. With good oral hygiene and regular cleanings, dental implants should last a lifetime. In contrast, the average life span of a traditional fixed bridge is between 10-15 years.

Bone regeneration

A critical question in determining whether an implant can be placed is, “Is there enough bone to support the implant?” Fortunately, advanced bone regeneration techniques now make it possible to place many more implants than just 10 years ago.

Am I a candidate for dental implants?

Dental implant treatment begins with an evaluation by your general dentist who will determine if you are a good candidate for this procedure. If he feels dental implants might be possible, he will send you to a periodontist for a placement evaluation.

How soon is it possible to eat after receiving dental implants?

As soon as the final restoration has been placed, you can resume normal eating again. A strict soft diet is necessary between placing the implant and placing the final restoration since stress prior to the final cementing of the restorative tooth could cause the implant to be weakened and fail.

Scroll to Top